知覚過敏症
知覚過敏症とは
テレビ、新聞、雑誌などでもおなじみの知覚過敏症といわれてる症状は、正しくは、象牙質知覚過敏症といいます。
象牙質知覚過敏症は、歯と歯ぐきの境目(歯頚部)などの象牙質面に、歯ブラシの毛先や、水が触れたときに、強い痛みを感じる状態をいいます。
主な原因は、歯ぎしりやくいしばりです。![]()
象牙質知覚過敏症の発生
歯ぎしりやくいしばりが過剰に行われると、その力はエナメル質や象牙質を介して、歯髄に伝わります。
歯髄はとても繊細な組織なので、その過剰な力を受けて、歯髄充血を起こし、疼痛閾値(痛みの感じやすさ)が下がり、ちょっとした刺激も痛みとして感じるようになります。
![]()
象牙質知覚過敏症の重症化
歯ぎしりやくいしばりの力が、直接、エナメル質に及んでしまうと、歯頚部のエナメル質に応力が加わり、ヒビが入って、やがてエナメル質の一部が破断します。
![]()
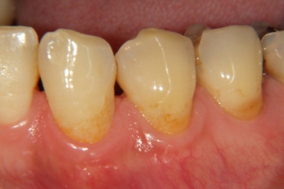
歯ぐきの退縮
一方、歯ぎしりやくいしばりの力が、歯槽骨に及ぶと、歯と歯槽骨をつないでいる歯根膜に炎症が起こり、歯槽骨の吸収を促進させ、歯頚部の歯ぐきが退縮します。
これらによって、露出する象牙質の面積が増えるために、象牙質知覚過敏を、より強く感じるようになります。
![]()
象牙質知覚過敏症は寒い時期に多い?
なお寒い季節には、一般的にくいしばりが強くなり、水も冷たくなるので、症状が重くなることが多くみられます。
また、象牙質知覚過敏症の痛みは、発生部位が虫歯と同じ歯髄なので、虫歯との区別がつきにくいことが特徴です。
レントゲン診断などで詳細に鑑別することが大切です。![]()
治療法
象牙質知覚過敏症の治療法については、治療技術の話のページでくわしく説明しています。ご覧ください。



