欠損補綴(けっそんほてつ) 人工物で補う治療
欠損補綴とは
さまざまな事情で歯や歯ぐきが失われたところに、人工的な歯や歯ぐきを装着して、咬み合わせや発音、審美性を回復させることを、欠損補綴といいます。
欠損補綴は、デンチャー(義歯)、ブリッジ、インプラントの3つの種類に大きく分けられ、それぞれの素材によってさらに細かく分類されます。
このページでは、欠損補綴を用いる方法や素材で分類し、詳しく説明します。
保険外診療の金額には消費税が含まれております。
![]()
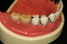
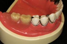
アクリルレジンデンチャーとは、アクリルレジンを用いた人口の歯ぐきと人工の歯で構成される補綴物で、歯を支持にしたり、歯ぐきに吸着させたりして機能させます。
クラスプ(支持部)は、コバルトクロムの、0.8mm径鍛造ワイヤーか、鋳造体を用います。
取り外し可能で、そのやり方も簡単なので、患者さんがご自身で着脱することができます。
人工の歯は、咬合の状態に応じて、レジン人工歯と硬質レジン人工歯を使い分けます。
床(しょう)タイプと、バータイプがあり、どちらを使うかは、症状を見ながらご相談させていただいます。
|
保険診療
|
|---|
![]()
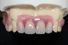
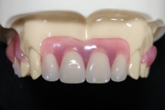
ノンクラスプデンチャーとは、ポリアミド樹脂やポリエステル樹脂を用いた人口の歯ぐきと、アクリルレジンの人口の歯で構成される補綴物で、床だけでなく歯への支持部にも樹脂を用います。
患者さんが、ご自身で着脱することができます。
そもそもノンクラスプデンチャーは、審美を重視するアメリカで、インプラントの代替療法として考案されました。
素材の特徴である弾力は、柔らかすぎると安定が悪くなり、硬すぎると支持歯を痛めます。
ゆう歯科クリニックでは、これまでの症例実績から、現在は、適度な弾性を持ったデンツプライ三金社製の「ルシトーンFRS」を用いていますが、アイキャスト社製エステショットなど、新しい素材が続々と開発されています。
|
保険外診療
|
ノンクラスプデンチャー(1歯) 59,400円 (保証期間2年)
ノンクラスプデンチャー(2歯片側) 72,600円 (保証期間2年)
ノンクラスプデンチャー(2歯両側) 79,200円 (保証期間2年)
ノンクラスプデンチャー(3歯片側) 75,900円 (保証期間2年)
ノンクラスプデンチャー(3歯両側) 82,500円 (保証期間2年)
ノンクラスプデンチャー(4歯片側) 82,500円 (保証期間2年)
ノンクラスプデンチャー(4歯両側) 92,400円 (保証期間2年)
ノンクラスプデンチャー( 5〜 8歯) 92,400円 (保証期間2年)
ノンクラスプデンチャー( 9〜11歯) 99,000円 (保証期間2年)
ノンクラスプデンチャー(12〜14歯)108,900円 (保証期間2年)
ノンクラスプデンチャー(総義歯) 115,500円 (保証期間2年)
コバルトクロムキャストバー 13,250円 (保証期間2年)
|
|---|
![]()
メタル床デンチャー
メタル床デンチャーは、コバルトクロムや金、チタンなどの合金を用いた歯ぐき面と、アクリルレジンの歯ぐき、および人工の歯で構成される補綴物で、歯に支持する部分は金属を用います。
粘膜に当たる部分の厚みをとても薄くすることができるので、違和感が少ないのが特徴です。
|
保険外診療
|
|---|
![]()
金属で一体型のフレームを作るため、高い強度を得られることから、「ロングスパンブリッジ」という連続した歯の欠損の補綴にも、余裕で適用できます。
強度が高いことにより、隣在歯(隣の歯)をできるだけ削らないで、保険診療適用の接着性ブリッジを作ることができます。
素材の種類によって、保険診療と保険外診療があります。
|
保険診療
|
|---|
![]()
金属より比重が小さく軽いので、歯への負担を軽くすることができます。
歯と同じ自然な色調であるために、審美性にとても優れています。
金属を全く使わないので、金属アレルギーが起こりません。
|
保険外診療
|
硬質レジンブリッジ(1歯欠損) 99,000円 (保証期間2年)
ハイブリッドセラミックブリッジ(1歯欠損) 99,000円 (保証期間2年)
ジルコニアブリッジ(1歯欠損) 247,500円 (保証期間3年)
|
|---|
素材の詳細については、「歯冠補綴」のページをご覧ください。
![]()
インプラント
インプラントは、顎の骨の中に植えた人工の歯根と、その上に接合した人工の歯で構成される補綴物で、欠損部自体に咬合力(咬む力)が伝わります。
補綴の部位によっては、ブリッジの構成物として機能する(ブリッジを支える歯として使える)場合もあります。
現在、ゆう歯科クリニックでは、インプラントの補綴は行っておりません。
インプラントの補綴を希望されるかたには、信頼のできる歯科医師をご紹介させていただいております。
|
保険外診療
|
|---|













