ホワイトニング
ホワイトニングとは
ホワイトニングとは、歯自体の色を、ブリーチング剤を用いて改善する審美治療です。
日本人の歯は、エナメル質が薄く、内層の象牙質が透けることにより黄色がかって見えるので、歯の色を気にしている方が多くいらっしゃいます。
これまで、歯を白くするためにわざわざ健康な歯を削って白い人工の歯を被せたりしていましたが、最近では、優れたホワイトニングペーストシステムが開発され、歯を削らずに、しかも手軽に、歯を白くすることができるようになりました。
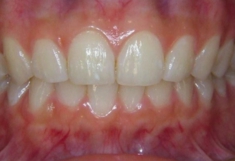
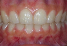
最初の2週間で、週5日×30分ずつ、次の2週間で、週1回×30分ずつのホワイトニングを行い、その後、2週間経過した状態です。(使用期間や回数は、使う人によって異なります)
バンディング(色むら)もなく、知覚過敏や歯肉炎も起きず、良好な結果が得られています。
ホワイトニングのしくみ
ホワイトニングに用いるペーストは、過酸化物質が主成分になっていて、その漂白作用で歯を白くします。
- 1. 歯の色素を分解して歯の色を白くする作用
- ホワイトニング剤(ペースト)の主な成分は、過酸化尿素や過酸化水素です。過酸化尿素や過酸化水素は、ホワイトニングに使用すると、酸素と水に分解されます。
- この分解されたときに生じた酸素が歯の色素を分解して、ホワイトニング作用を発揮します。
ホワイトニングの種類
ホワイトニングは歯科診療所のみで行う「オフィスホワイトニング」と、ご自宅でご自身で行う「ホームホワイトニング」とに分けられます。
どちらも、歯の表面に漂白効果のあるペーストを付けてホワイトニングをします。
- オフィスホワイトニング
- 短時間で効果を上げるために高い濃度のペーストを用います。
- ホームホワイトニング
- 比較的 濃度の低いペーストを用いて何回も行うことにより、効果を得ることができます。
ゆう歯科クリニックでは、歯や歯ぐきに刺激が及びにくく、痛みが出にくいという点から、ホームホワイトニングをお勧めしています。
ご自宅で、ご自身で、好きな時間に追加ホワイトニングができるのもメリットです。
ホワイトニングの費用
ホワイトニングは虫歯などの疾患治療ではないため、保険外診療になります。
|
保険外診療
|
合計 28,800円(消費税込み)
|
|---|---|
|
(内訳)
|
・診断基本料 10,000円(消費税込み)
・マウストレー 片顎@4,500円×2=上下顎 9,000円(消費税込み)
・ホワイトニングキット代 9,800円(消費税込み)
GC社 ティオンホームプラチナ スターターキット ホワイトニング剤4本、トレーシート2枚、シェード、収納ケース |

禁忌事項および注意事項
- 以下の方は使用ができません。小さいお子さん、妊娠中のかた、授乳期間中のかた、重度の歯肉炎や歯周炎を有するかた、無カタラーゼ症の患者さん(過酸化物を分解できない)。
- ホワイトニング期間中やホワイトニング直後は、歯に色が付きやすくなっています。装着が終わってから最低2時間は、コーヒー・お茶・赤ワインなどの色の濃い飲み物や、カレー・ミートソース・麻婆豆腐などの色のつきやすい食べ物の飲食を控えてください。
- タバコは控えていただくか、最小限にして下さい。
- 最初は、バンディング(白い筋ができる色むら)を起こすことがあります。その場合、使用を続ければ良くなる場合と、中止をしたほうが良い場合がありますので、歯科医師の診察を受けてください。
- 知覚過敏が起こることがあります。強くしみる場合は1~2日ほど使用を中止し、徐々に再開してください。
- 過敏症状を起こすことがあります。歯ぐきにペーストを付けないように注意して下さい。
- できるだけ、継続してお使いください。
- ホワイトニングの効果はおよそ半年です。使用を中止すると、だんだんと元に戻っていきます。
- ホワイトニングの効果には個人差があります。希望されるほどの効果が得られない場合がありますので、ご了承ください。
ホワイトニングペーストの濃度
ゆう歯科クリニックではGC社のティオンホームプラチナ(10%)をおすすめしています。
現在、日本の薬事法では10%のホワイトニング剤しか認可されておりません。ですが歯科医師の承諾があるものに限り、濃度の濃いものを輸入することができます。患者さんに充分な説明をし、納得していただいたうえで提供することは可能です。
ホワイトニングの手順
- 1.説明
ホワイトニングによって有効な効果が得られると考えられるものは、加齢、遺伝、喫煙などによる歯の変色が挙げられます。したがって、歯の掃除など、ホワイトニング以外の保険診療で対応できる場合には、そちらをお勧めすることもあります。
また、ホワイトニングによって得られる効果には、個人差があります。希望されるほどの効果が得られない場合がありますので、ご了承ください。
ゆう歯科クリニックでは、ホワイトニングをはじめる前に充分にお話を伺い、ご説明いたします。その後、歯科医師による適応診断を行っております。
- 2.適応診断
ホワイトニングに適しているか、以下の3つの診断を行います。
a. 歯科医師による診断
歯科医師が、ホワイトニングに適しているか、また、どのくらいのホワイトニング効果があるかを診断します。
バンディング(色むら)や知覚過敏などのリスクがどのくらいあるか、またご本人がどのくらいの効果を期待されているかなども加味して、ホワイトニングの適応を診断し、そのかたにとって適切な製品を選びます。
ただし、ホワイトニングの効果には個人差がありますので、希望されるほどの効果が得られない場合があります。ご了承ください。
b. 色調解析装置の計測による診断
ゆう歯科クリニックでは、見た目の評価だけではなく、客観的に効果を判定するために、OLYMPUS社製の高精度な色調解析装置を用いて計測しています。
治療の前後に歯の色を測定しますので、どのくらい歯が白くなったか、ホワイトニングの効果を数値でも知ることができます。
このページの上方にある「使用前」「使用後」の写真を実際に計測したのが、このデータシートです。
写真のかたは、3〜4シェード分の充分なホワイトニング効果が得られたことが、数値からも確認できました。(シェードについては次の項目で説明しています)
英語でシェードというと「日よけ」のことですが、歯科では「歯の色調」のことを言います。
ホワイトニングではその色調が指標になりますので、どのシェードを目標に設定するか?が、特に重要になります。
そこで、歯の色調の世界標準となっている「ビタシェードガイド」を明度順に並べて、それが何段階変化したかを計ります。
写真のガイドは、左側から B1 - A1 - B2 - D2 - A2 - C1 - C2 - D3 - A3 - D4 - B3 - A3.5 - B4 - C3 - A4 - C4 と、右に向かって順に暗くなっていきます。
- 3.マウストレー作製
ホワイトニングに適応すると診断されたら、まず、歯全体の掃除をします。
その後、ペーストを歯に保持するための、マウストレー用の型採りを行います。
マウストレーには1mmの薄厚EBA樹脂を用います。そのかたの歯にぴったり合ったものができますので、ペーストを歯に確実に定着させることができます。
マウストレーは、できあがるまで2週間ほどかかります。
GC社のティオンホームプラチナ スターターキットを使用されるかたは、キットに入っているトレーシート2枚を使用してトレーを作成いたしますので、スターターキットをお渡しする前に開封させていただくことになります。ご了承ください。
- 4.ホワイトニング開始
マウストレーとホワイトニングペーストが揃ったら、いよいよホワイトニング開始です!
キットをお渡しする際に、使用方法をご説明いたします。
実際にお使いになる前に、キットにあらかじめ入っている注意事項をよくお読みください。
禁忌事項および注意事項を、いま一度、ご確認ください。
<使い方>
- ・開始する前に歯磨きをします。
- ・マウストレーにペーストを塗布し、歯に装着します。
- ・歯にマウストレーを装着してから1~2時間 経過したら、洗口します。
- ・歯やマウストレーにペーストが付いていたら、ハブラシで落としてください。
- ・ペーストは、開封後は冷蔵庫で保管してください。
<使用時間>
- ・毎日1〜2時間の漂白を2週間 続けていただくのが基本ですが、ひとりひとりの状態に合った使用時間や回数を提案させていただきます。
- ・およそ1〜2週間ごとに確認のための診察を受けてください。詳しくは次の項目で説明いたします。
<取扱い上の注意点>
- ・ペーストが歯ぐきに触れないように、充分、注意してください。
- ・ペーストがシリンジから漏れる可能性があるため、キャップをきちんと閉めて保管してください。
歯が過敏になり強くしみることがあります。その場合は、いったん使用を1〜2日中止していただき、徐々に再開してください。
お聞きになりたいことがあれば、いつでもご相談ください。
- 5.確認のための診察
ホワイトニングの状況を確認するために、基本的に3回の診察を受けていただきます。
<1回目の確認>
ホワイトニング開始から1週間後に来院していただき、使用感などをお聞きします。歯と歯ぐきの状態を確認し、歯の掃除や写真撮影などを行います。
<2回目の確認>
1回目の確認の1週間~2週間後に2度目の来院をしていただき、再び状態を確認します。歯や歯ぐきの状態、お使いになられる頻度、効果に満足されているか?などから、今後の方針を検討いたします。ですから3度目の来院日は、状態を確認するのにベストだと思われる日を、こちらから提案させていただきます。
<3回目の確認>
これまでの経過と併せて、歯と歯ぐきの状態を確認させていただきます。
お使いになられているマウストレーとペーストを確認いたします。毎回、お持ちになってお越しください。
ペーストの追加が必要な場合や継続して行いたい場合は、ペーストの追加購入が可能です。
ホワイトニング後におすすめの歯磨剤の取り扱いもございます。お気軽にご相談ください。







