歯冠修復 つめる治療
歯冠修復とは
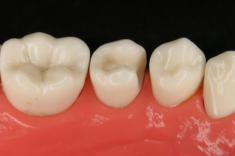
う蝕(虫歯)や、歯の破折などで失われた部分を、人工物で埋めて歯の形態を回復することを、歯冠修復といいます。
できるだけ歯を残しながら、咬み合わせにも充分に耐えられるように、かつ 高い審美性が得られるようにデザインします。![]()
練成充填修復
液や粉などを混合してペースト状にした材料を、歯に詰めて硬化させる方法を、練成充填修復(れんせいじゅうてんしゅうふく)といいます。
材料は、お口の中で光を照射して固めますので、治療後すぐに食事をすることができます。
材料にはさまざまな種類がありますが、ゆう歯科クリニックでは、グラスアイオノマーセメントと、コンポジットレジンを使用しています。
- グラスアイオノマーセメント
グラスアイオノマーセメントとは、歯科用セメントの一種で、 主成分のアルミノシリケートグラスが、フッ素を長期間にわたり放出するという特徴があります。フッ素を長期間に渡り放出することで、むし歯予防効果が期待できるというメリットがあります。
また、グラスアイオノマー自体が象牙質との接着性を持つという特徴を持っているため、二次う蝕(充填のすきまからできる虫歯)を防ぐことができます。ただし、若干 硬度が低く、咬み合わせによってすり減りやすいという弱点があります。
ゆう歯科クリニックでは、GC社製の「FUJ II LC EM」というグラスアイオノマーセメントを主に使用しています。
- コンポジットレジン
コンポジットレジンとは、審美性に優れたMMA(メチルメタクリレート)に金属微粒粉末のフィラーをカップリングして、強度を向上させた有機系充填材料です。数々の改良が繰り返され、いまや充填材料の主流となっています。ただし、コンポジットレジン自体に接着性がないため、接着剤を用いて充填します。
ゆう歯科クリニックでは、GC社製の「MIフロー」「ユニフィルフロー」「ソラーレ」など、数十種類のコンポジットレジンから、粘性や色調など、それぞれの歯に最適なものを選んで使用しています。
![]()
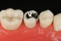
まず、歯の失われた部分を箱型に削る、窩洞形成(かどうけいせい)を行います。次に歯の型を採ります。そして、技工作業でその型に合った金属を鋳造して作り、「歯の失われた部分に金属をつめる」ことを、金属インレー修復といいます。
歯と金属は、歯質との接着性の高い材料を使って接着させます。
金属は丈夫ですり減りにくいため長持ちしますが、金属の持つ硬さのために、日常生活において咬むということを繰り返すうちに、土台になっている歯に負荷がかかり、歯が割れてしまう恐れがあります。
またお口を開けたときに金属がキラリと光って見えるといった、審美性が劣るという点からも、ゆう歯科クリニックでは、金属インレー修復を積極的には用いていません。
金属の種類によって、保険適用のものと、保険適用外のものがあります。
|
保険診療
|
金パラジウム銀合金
|
|---|---|
|
保険外診療
|
白金加金合金 27,500円 (保証期間3年)
|




